News • „Flow-void“ bei Innenohr-Bildgebung
Artefakte im Kopf-MRT: Eine Frage der Lage
Dunkle, rautenförmige Areale in Magnetresonanztomografien (MRT) des Innenohrs sind nicht zwangsläufig ein Hinweis auf krankhafte Veränderungen – sie können schlicht davon abhängen, wie eine Person im Scanner liegt.

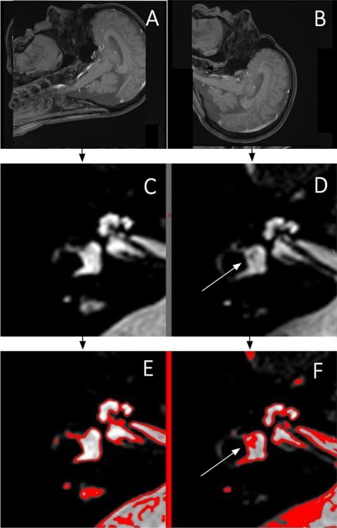
Bildquelle: Javor D, Leyer M, Ward BK et al., European Journal of Radiology 2026 (CC BY 4.0)
Dunkle, rautenförmige Areale in Magnetresonanztomografien (MRT) des Innenohrs sind nicht zwangsläufig ein Hinweis auf krankhafte Veränderungen – sie können schlicht davon abhängen, wie eine Person im Scanner liegt. Eine Pilotstudie an der Karl Landsteiner Privatuniversität (KL Krems) zeigt, dass charakteristische „Flow-void“-Artefakte im Vestibulum (Gleichgewichtsorgan) deutlich stärker ausfallen, wenn der Kopf nach hinten überstreckt ist, und geringer, wenn das Kinn in Richtung Brust geneigt wird. In ersterer Position berichteten einige Teilnehmende über Schwindel. Die im European Journal of Radiology veröffentlichten Ergebnisse stützen die Annahme, dass starke Magnetfelder Flüssigkeitsbewegungen im Innenohr antreiben können – und legen nahe, die Kopfposition sowohl bei der Interpretation von Innenohr-MRT-Scans als auch im Hinblick auf den Untersuchungskomfort mit zu berücksichtigen.
Hochfeld-MRT mit 3 Tesla und mehr ist in der Neuroradiologie mittlerweile Standard. Bei diesen Feldstärken kann das statische Magnetfeld mit winzigen elektrischen Strömen in den Innenohrflüssigkeiten wechselwirken. Die dabei entstehenden Lorentz-Kräfte sind dafür bekannt, Nystagmus (unkontrollierte, rhythmische Augenbewegungen) und Vertigo (Schwindel) bei Menschen mit intaktem Gleichgewichts-(Vestibular-)system auszulösen. Gleichzeitig reagieren MRT-Techniken, die das Labyrinth des Innenohrs abbilden, äußerst empfindlich auf langsame Flüssigkeitsbewegungen. Frühere Beobachtungen aus Krems hatten diese Effekte mit kleinen, scharf begrenzten, signalarmen Bereichen im Vestibulum in Verbindung gebracht, die keiner anatomischen Struktur entsprechen. Die neue Studie sollte nun prüfen, ob sich diese Hypointensitäten (als „flow voids“ bezeichnet) tatsächlich wie flussbedingte Artefakte verhalten und ob sie sich mit der Kopfneigung systematisch verändern.

Bildquelle: Javor D, Leyer M, Ward BK et al., European Journal of Radiology 2026 (CC BY 4.0)
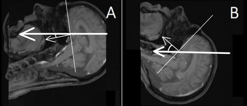
Ein Team unter der gemeinsamen Leitung von Prof. Dr. Domagoj Javor, Leiter des Instituts für Diagnostische und Interventionelle Radiologie am Universitätsklinikum Krems (einem Lehr- und Forschungsstandort der KL Krems) sowie Dr. Béla Büki von der dortigen HNO-Abteilung, untersuchte 20 gesunde Erwachsene ohne bekannte vestibuläre Erkrankung in einem 3-Tesla-Scanner. Die Fallzahl wurde bewusst klein gehalten; die Autorinnen und Autoren verstehen das Projekt als Machbarkeitsstudie, nicht als abschließende klinische Prüfung. Bei jeder Person wurden zwei hochauflösende Innenohr-Scans mit einer T2-gewichteten SPACE-Sequenz durchgeführt: einmal mit nach vorne geneigtem Kopf (Kinn zur Brust) und einmal mit nach hinten geneigtem Kopf (Überstreckung). Rekonstruiert wurde in der Ebene des horizontalen Bogengangs. Zwei erfahrene Mediziner arbeiteten unabhängig voneinander und „verblindet” und bestimmten, welcher Anteil des Vestibulums von den signalarmen „flow-void“-Arealen eingenommen wurde.
Diese charakteristische, rautenförmige Hypointensität im Vestibulum bei Kopfüberstreckung [kann] isoliert betrachtet wie eine fokale Läsion wirken – in vielen Fällen spiegelt sie jedoch lediglich Flüssigkeitsbewegung im starken Magnetfeld wider
Béla Büki
Das Muster war eindeutig: Bei nach hinten geneigtem Kopf nahm die signalärmere Fläche im Vestibulum auf beiden Seiten im Mittel um rund 15 Prozentpunkte gegenüber der Kinn-zur-Brust-Position zu. In derselben Kopfposition berichteten drei der 20 Teilnehmenden – etwa 15% – über leichten Schwindel; bei nach vorne geneigtem Kopf trat dies nicht auf. „Unsere Befunde zeigen, dass diese kleinen dunklen Bereiche im Vestibulum keine fixen anatomischen Merkmale sind, sondern sich mit der Kopfposition im Magnetfeld verändern“, sagt Prof. Dr. Javor. „Genau das erwartet man bei einem gutartigen, positionsabhängigen Artefakt – aber nicht bei einer Innenohr-Pathologie.“
Physikalisch passen die Beobachtungen zu Modellen zur magnetischen vestibulären Stimulation. Bei zurückgeneigtem Kopf steht die Hauptrichtung ionischer Ströme im Innenohr eher senkrecht zum Magnetfeld des Scanners. Dadurch wird die Lorentz-Kraft größer, was stärkere Bewegungen der Endolymphe in Teilen des Innenohrs – insbesondere im Utriculus und im lateralen Bogengang – begünstigen kann. Solche Bewegungen können einerseits Strukturen beeinflussen, die zur Schwindelentstehung beitragen, und andererseits das MRT-Signal so verändern, dass ein ausgeprägterer „flow void“-Bereich entsteht.
Für den klinischen Alltag schlagen die Autorinnen und Autoren einen pragmatischen Umgang vor: Wenn in einer T2-Spin-Echo-Sequenz eine verdächtige vestibuläre Hypointensität auffällt, kann es helfen, zu prüfen, ob sie sich mit der Kopfposition oder zwischen verschiedenen Sequenztypen verändert. Gradient-Echo-Sequenzen, die weniger empfindlich auf langsame Flüssigkeitsbewegungen reagieren, können als Vergleich dienen. Zudem kann es die Links-Rechts-Vergleichbarkeit verbessern, die Kopfneigung in sagittalen Übersichtsaufnahmen zu dokumentieren und konsequent in der Ebene des horizontalen Bogengangs zu rekonstruieren. „Radiologinnen und Radiologen sollten wissen, dass diese charakteristische, rautenförmige Hypointensität im Vestibulum bei Kopfüberstreckung tendenziell zunimmt und bei Kinn-zur-Brust-Position abnimmt“, sagt Dr. Béla Büki. „Isoliert betrachtet kann sie wie eine fokale Läsion wirken – in vielen Fällen spiegelt sie jedoch lediglich Flüssigkeitsbewegung im starken Magnetfeld wider.“
Gleichzeitig betont das Team die Grenzen der Daten: Untersucht wurde an einem Standort, an einem 3-Tesla-Gerät, mit einem spezifischen T2-SPACE-Protokoll und nur 20 gesunden Erwachsenen. Der Spielraum für Kopfpositionen war durch die Kopfspule begrenzt; Augenbewegungen und Innenohr-Flüssigkeitsdynamik wurden nicht direkt gemessen. Die Ergebnisse sollen daher als in sich stimmige Pilotstudie verstanden werden, nicht als neuer Behandlungs- oder Befundstandard. Größere Untersuchungen bei unterschiedlichen Feldstärken – und vor allem Daten von Personen mit vestibulären Erkrankungen – sind erforderlich.
Trotz dieser Einschränkungen zeigt die Studie, wie die Zusammenarbeit von Radiologie, Hals-Nasen-Ohrenheilkunde und Vestibularforschung physikalische Begleiterscheinungen moderner Magnetresonanztomografie in praxisnahe Orientierung übersetzen kann. An der KL Krems und am Universitätsklinikum Krems fließen diese Erkenntnisse bereits jetzt in Lehre, Protokollplanung und das Management der untersuchten Personen ein.
Quelle: Karl Landsteiner Privatuniversität
17.02.2026









