
© Laura Rubbia-Brandt
News • Swiss national study reveals
Colorectal cancer on the rise among people under 50
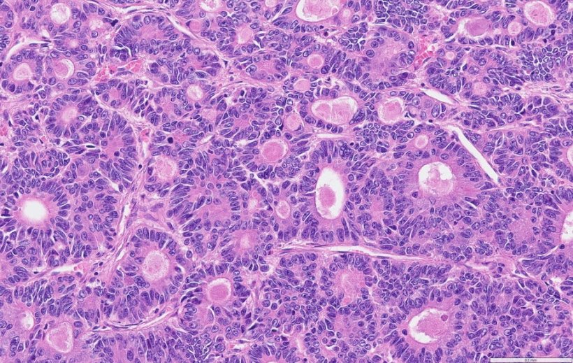
A team from the University of Geneva (UNIGE) and the Geneva University Hospitals (HUG) has published the first national study on colorectal cancer incidence among individuals under 50, revealing an annual increase of 0.5%.
While the incidence of colorectal cancer is decreasing among those over 50, it is rising at an alarming rate among younger individuals, sometimes as early as their thirties. A team from UNIGE and HUG has published the first national study on this phenomenon in Switzerland. Based on an analysis of nearly 100,000 cases over 40 years, the study reveals an annual increase of 0.5% in this population. Published in the European Journal of Cancer, the research also highlights the challenge of late diagnoses and calls for increased awareness.
Recommended article

Article • Experts explore often-overlooked patient group in oncology
A rising tide: cancer in young adults
For a young adult, a cancer diagnosis hits different: a more aggressive disease course, greater disruptive potential, longer survivorship. Yet most healthcare institutions seem poorly prepared for this growing patient group. A plenary session at the NCCN 2026 Annual Conference examined a striking shift in modern oncology: the rising incidence of cancer in adolescents and young adults (AYA).
Colorectal cancer ranks third in terms of incidence and second in terms of mortality, making it one of the most common cancers worldwide. According to estimates from the World Health Organization, more than 1.9 million new cases were diagnosed in 2022, leading to nearly 900,000 deaths. The highest incidence rates are found in Europe, Australia, and New Zealand, while Eastern Europe has the highest mortality rates.

© HUG
In Switzerland, colorectal cancer is also one of the three most common cancers, with approximately 4,500 new cases diagnosed each year. While cases are declining among those over 50 — largely due to the expansion of screening programs — they are, conversely, rising at an alarming rate among younger individuals. This phenomenon is observed in many high-income countries.
"Cases are now emerging in people in their thirties, with no personal or family history of the disease. These patients are often diagnosed late, by which time metastases are already present," explains Dr. Jeremy Meyer, privat-docent in the Department of Surgery at the UNIGE Faculty of Medicine and a Senior Consultant Surgeon in the Division of Digestive Surgery at the HUG.
The researcher, in collaboration with Dr Evelyne Fournier, epidemiologist at the Geneva Cancer Registry at UNIGE, has conducted the first national study on this phenomenon. The analysis includes 96,410 cases diagnosed between 1980 and 2021. These data are drawn from the Geneva registry as well as the National Agency for Cancer Registration, which centralises and analyses information from the cantonal registries.
The study results show that cancers occurring before the age of 50 account for 6.1% of all cases. In this population, the incidence has increased steadily, with an annual progression of approximately 0.5%, reaching nearly 7 cases per 100,000 person-years. This trend contrasts sharply with the decline (-1.7% for men and -2.8% for women) observed in the screening-age group, i.e., those aged 50-74.

© UNIGE
"Our study also shows that the observed increase primarily concerns rectal cancers in both men and women, as well as right-sided colon cancers in young women. These differences suggest the presence of distinct biological or environmental mechanisms," says Evelyne Fournier. Finally, the research reveals that nearly 28% of patients under 50 present with metastatic disease at the time of diagnosis, compared to approximately 20% in older patients.
The research team emphasises the importance of raising awareness about warning symptoms, such as persistent abdominal pain, blood in the stool, changes in bowel habits, or unexplained weight loss. These signs should not be minimised and should lead to a medical consultation.
"Some countries, such as the United States, have chosen to lower the screening starting age to 45. In cases of increased familial risk or hereditary colorectal cancer, screening should be carried out even earlier," says Jeremy Meyer.
As for the causes of this increase, several factors could contribute, including changes in dietary habits and lifestyle, the rise in obesity, and early environmental exposures influencing the microbiome. However, at this stage, no single cause can fully explain the phenomenon.
Source: University of Geneva
26.04.2026



