
© Izabelly Marques – unsplash.com
News • Orthopedic ultrasound screening
AI helps spot signs of dysplasia in infant hips
All parents want to know whether their baby is developing normally. However, for infants at risk of developmental dysplasia of the hip (DDH), many hospital referrals turn out to be unnecessary.
Researchers from Radboudumc and JGZ Kennemerland have now found a smarter way to screen for DDH at the child health care (CHC) center. With an AI-assisted ultrasound application, CHC physicians can scan the infants hips themselves cutting unnecessary hospital referrals by more than half.
The team published their insights in the journal Computer Methods and Programs in Biomedicine.
DDH is an orthopedic condition that occurs in 2–4 % of infants aged 0–6 months. The later the age at first diagnosis, the poorer the outcomes after intervention. Early diagnosis and treatment of DDH are therefore crucial. Currently, screening of DDH at the CHC center does not include ultrasound. Instead, screening consists of identifying risk factors and performing repeated physical examinations of the hip. When an infant has an increased risk of DDH, they are referred to the hospital for an ultrasound to establish a diagnosis. The specificity of this screening program is 82%, meaning that six out of seven referred infants do not have DDH.

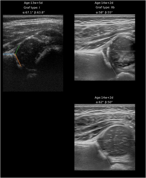
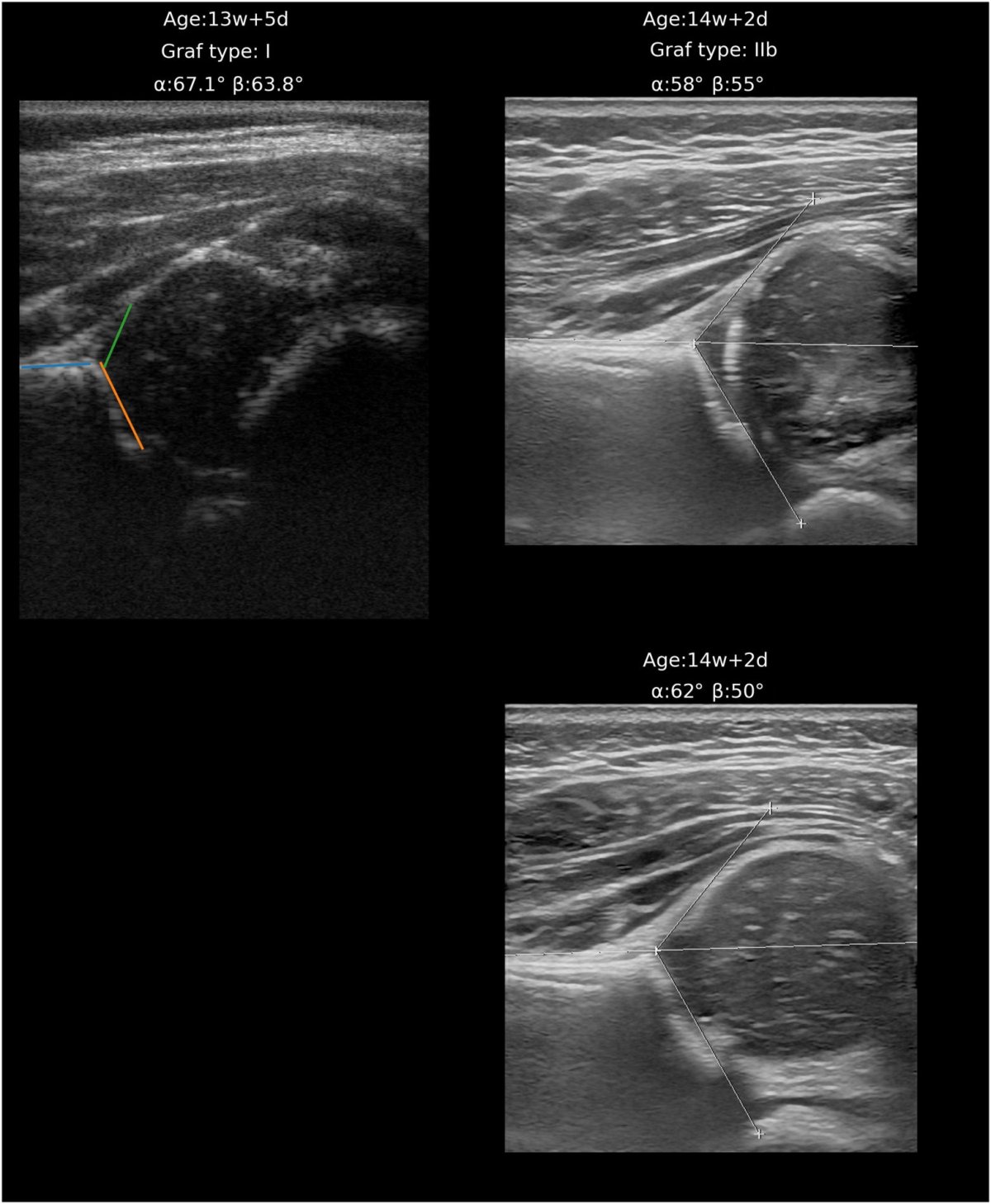
Image source: Verhoeven MMR, Klein WM, De Monye W et al., Computer Methods and Programs in Biomedicine 2025 (CC BY 4.0)
Traditionally, training a sonographer to perform hip ultrasounds takes several months, making the implementation of ultrasound at CHC centers impractical. Researchers from Radboudumc and JGZ Kennemerland have shown that CHC physicians can be trained in just one hour to perform an AI-assisted ultrasound at the CHC center. Consequently, introduction of ultrasound at the CHC center could improve the specificity of the screening program and reduce the number of unnecessary referrals.
In this study, two CHC physicians scanned a total of 105 infants at the CHC center. The AI application’s results were evaluated by two trained radiologists, showing that 56% of infants without DDH could be correctly identified. This means that only 3.5 infants need to be referred to the hospital for an ultrasound to detect one infant with DDH. Therefore, the specificity improves to 92%.
Ardim, a spin off from the Radboudumc, is currently in the process of obtaining CE-certification for the AI-assisted ultrasound application, so it can be used in clinical practice.
Recommended article

Artikel • Aus der Hüfte
Der größte Feind des Hüftscreenings ist sein Erfolg
Durch das flächendeckende Screening nach Hüftdysplasien per Ultraschall kurz nach der Geburt sind in vielen Ländern die Fallzahlen schwerer Fehlstellungen deutlich zurückgegangen. Prof. Dr. Reinhard Graf, der das Verfahren der Hüftsonographie vor knapp 30 Jahren entwickelt hat, sieht darin Erfreuliches – aber auch Gefahren. Eine besondere Rolle spielt die Ausbildung junger Schaller.
Source: Radboudumc
27.10.2025









