News • Preventing periprosthetic femoral fractures
Safer implant designs for total hip replacement
Study reveals key insights on the type of femoral stem that minimizes the risk of early postoperative femoral fracture

Image credit: Nakashima Health Force Co., Ltd.
As populations continue to age, total hip replacement (THR) is becoming an increasingly common surgical procedure. Experts estimate that approximately one million THRs are performed each year worldwide. The surgery is often life-changing, as it can fully restore the function of the hip joint, reduce pain, and allow patients to walk and bear weight again. However, as with any major surgery, the procedure is not without risks, especially for older individuals with other health conditions.
A significant complication following THR is a femoral fracture—a break in the thigh bone near the artificial hip joint. This is currently the leading cause of reoperation or revision surgery after THR. Nearly half of these fractures occurred early, usually within the first 90 days following surgery. While surgeons have limited control over factors such as their patients’ age, health status, and lifestyle, one critical decision they can influence is the design of the artificial hip implant to use. But which type of hip implant is best at preventing early femoral fractures?
In this view, a research team led by Assistant Professor Rui Hirasawa from the Graduate School of Medicine at Chiba University, Japan, conducted a retrospective study comparing the two most widely used types of femoral stems in THR. Their work, published in the Bone & Joint Journal, was co-authored by Dr. Kazuhiro Oinuma, Executive Director of Funabashi Orthopedic Hospital, and Dr. Yoko Miura, Director of the Joint Reconstruction Centre at Funabashi Orthopedic Hospital, as well as Lecturer Shigeo Hagiwara, Associate Professor Junichi Nakamura, and Professor Seiji Ohtori, from Chiba University.
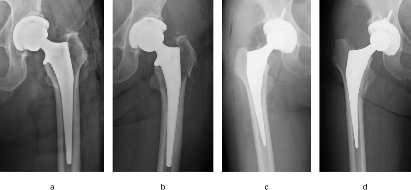
The two types of femoral stems compared were collared fully hydroxyapatite (HA)-coated stems and flat-tapered wedge stems. The first type features a stabilizing ring or ‘collar’ at the top of the implant that rests on the patient’s bone, and a specialized coating called HA, designed to promote bone growth directly onto the implant for a secure fit. Meanwhile, flat-tapered stems rely purely on their wedge shape and tight fit within the bone canal of the femur to achieve initial stability; they do not have a stabilizing collar or HA coating. “Based on both our clinical impressions and reports in the literature indicating a lower incidence of post-THR femoral fractures with collared fully HA-coated stems, we were inspired to investigate whether these stems could indeed reduce the risk of these fractures,” explains Dr. Hirasawa.

Image source: Hirasawa R, Oinuma K, Hagiwara S et al., The Bone & Joint Journal 2025 (CC BY 4.0)
The researchers gathered data from 4,511 THR procedures conducted by a single surgeon in a single medical center from 2009 to 2023. Here, the team used an advanced statistical technique called propensity score matching to produce two highly comparable groups of patients for better analysis. They ultimately matched 1,804 cases where collared HA-coated stems were used with 1,804 cases where flat-tapered wedge stems were used, based on factors such as age, sex, body mass index, and conditions like osteoarthritis. This approach helped minimize the impact of confounding variables.
Our results have the potential to directly improve patient safety and surgical outcomes in THR by helping surgeons make more informed implant selections, leading to fewer serious complications, faster functional recovery, and reduced need for reoperation
Rui Hirasawa
The results revealed that early post-THR femoral fracture was significantly less frequent among patients with collared HA-coated femoral stems—only two cases of fracture were recorded in this group versus 13 in those with flat-tapered wedge stems. Hence, the researchers investigated each fracture in detail based on available clinical data.
Notably, while the use of collared HA-coated femoral stems was associated with fewer early postoperative femoral fractures, the study also found that the incidence of intraoperative femoral fractures was higher in this group compared to flat-tapered wedge stems. This highlights the importance of further research to optimize surgical techniques and patient selection when using collared HA-coated stems, in order to minimize intraoperative complications.
Overall, the findings of this study suggest that collared HA-coated stems may have inherent advantages over flat-tapered wedge stems, which surgeons should take into account when deciding which type of prosthetic hip to use or recommend. “Our results have the potential to directly improve patient safety and surgical outcomes in THR by helping surgeons make more informed implant selections, leading to fewer serious complications, faster functional recovery, and reduced need for reoperation,” remarks Dr. Hirasawa. “In the long term, this research may set a new global standard for femoral stem selection in hip replacement.”
Source: Chiba University
03.11.2025









