|
|
Welcome to 2026! The new year brings fresh perspectives on critical healthcare challenges, such as addressing inequities. For example, breast imaging for male and transgender patients reveals significant knowledge gaps, with a pan-European survey highlighting the absence of standardised protocols. Meanwhile, coordinated screening shows promise in improving lung cancer detection for women. The newsletter also explores how AI in pathology may inadvertently introduce demographic bias in cancer diagnosis, and how this can be avoided. Enjoy reading!
|
|
 |
Article • Overlooked and underserved populations
Breast imaging for male and transgender patients remains an under-researched field with significant gaps in guidelines and clinical practice. At the European Society of Breast Imaging (EUSOBI) annual scientific meeting, experts presented findings ... |
News • Lung cancer CT notification
Many women over 50 schedule mammograms for breast cancer but miss out on CT lung cancer screenings they're also eligible for. Targeted outreach coul help change this, a new study shows. |
|
News • Unintended effects
Should women be told about their high breast density as part of mammography screening? While this may sound like an obvious choice, a new study warns of unintended effects. |
|
Article • Advancing risk stratification
Artificial intelligence is reshaping how clinicians identify women at higher risk of breast cancer – and may soon guide decisions on supplemental screening and treatment. At the European Society of Breast Imaging (EUSOBI) annual scientific meeting ... |
|
Article • Functional neuroradiology
At the JFR 2025 (Journées Françaises de Radiologie), the annual meeting of the French Society of Radiology, an organist and a neuroradiologist came together to share a story that bridges two worlds rarely seen in dialogue – that of sound and ... |
|
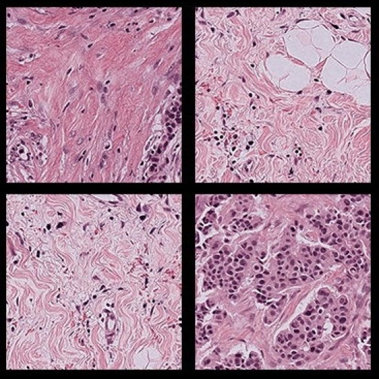
News • Tissue sample analysis
A sample of inequality: A new study shows that AI models can infer demographic information from pathology slides, leading to bias in cancer diagnosis among different populations. |
|
News • When good bacteria fight back
New research shows that a harmless strain of Klebsiella – discovered by chance in laboratory experiments – can eliminate infections and reduce gut inflammation in inflammatory bowel disease (IBD). |
|
News • Virtual companions, real responsibility
Facing a mental health crisis, more and more people turn to chatbots and AI characters. While they offer new possibilities, they also pose great risks, especially for vulnerable users, experts warn. |
|
News • Critical areas for osteoporotic fractures
To predict the risk of hip fracture, only 7% of the bone mass needs to be analysed, a new study finds. Scientists have identified these critical areas to improving diagnostic methods. |
|
News • New treatment approach
To soften up tumors prior to cancer chemotherapy, a team of researchers paired high-frequency ultrasound waves with a type of sound-responsive particle to reduce the protein content of the tumors. |
|
News • Public health compliance
In an epidemic setting, even a small proportion of citizens who do not follow public health measures can amplify the spread of contagions and make them expand faster, a new study reveals. |
|
News • Historia pestilentiae
From volcanic activity to the deaths of millions: Using climate data and documentary evidence, researchers have painted a detailed picture of how the Black Death pandemic reached Europe. |
|
|
|
| |
You are receiving this email because you subscribed to our newsletter on healthcare-in-europe If you don’t want to receive this newsletter anymore, click here to unsubscribe.
Keep up-to-date on the latest news from all hospital-related fields! Subscribe to our bi-monthly newsletter. Copyright © 2026 mgo fachverlage GmbH & Co. KG. All rights reserved. E.-C.-Baumann-Straße 5, 95326 Kulmbach, Germany
email: newsletter@european-hospital.com |
|



|
|