|
|
Biomarker development in oncology is one of the most complex challenges in modern pathology. The newsletter covers how AI and multimodal data integration could bridge the gap between tumour biology and current diagnostic tools. Also featured: the persistent gaps in breast cancer screening for transgender patients, and how to overcome them, the role of photon-counting CT in improving lung cancer diagnostics, and new findings on how circadian rhythms affect the efficacy of radiotherapy. Enjoy reading!
|
|
 |
Article • Digital pathology and AI
Advances in artificial intelligence and multimodal data integration are poised to revolutionise cancer diagnostics – but significant challenges remain before these technologies can be routinely deployed in clinical practice. Professor Manuel ... |
Sponsored • On-demand Webinar
In this on-demand webinar, participants will learn how to safely administer drugs to patients with swallowing difficulties or enteral feeding tubes, including injectable drug compatibility. |
|
Article • The “invisible” population
Transgender patients are largely invisible in breast cancer screening statistics – and many never receive an invitation to participate in screening programmes. Guidelines exist, but awareness among referring physicians remains low. Experts say ... |
|
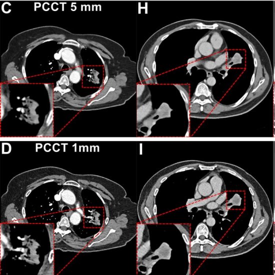
News • Sharper images, less radiation
A study of 200 lung cancer patients shows photon-counting CT cuts radiation by 66% and contrast agent by 27% - while delivering sharper images and better tumor detection than conventional CT. |
|
News • Intraoperative imaging
A new kind of intraoperative MRI (iMRI) can perform functional MRI scans in real time during brain surgery — helping surgeons detect potential complications in as little as seven seconds. |
|
News • Research on metastasis mechanism
Due to its rapid spread in the abdomen, ovarian cancer is often only detected at an advanced stage. Now, scientists have discovered how this cancer takes advantage of other cells for metastasis. |
|
News • Promising trial results from Spain
Even after a blood clot is removed from a large brain artery via thrombectomy, administering the thrombolytic drug alteplase to the area may improve stroke recovery, a new trial from Spain shows. |
|
News • Digital tool for point-of-care screening
An AI-assisted stethoscope could help doctors identify patients with valvular heart disease who may otherwise go undiagnosed. This could reduce hospital admissions and overall healthcare costs. |
|
News • Cancer “chronotherapy”
Radiotherapy is more effective when administered at the right time of day, according to new research. This discovery opens the door to cancer “chronotherapy”, the researchers hope. |
|
News • Rehabilitation medicine
People who suffer from a traumatic brain injury (TBI) often have lasting difficulties returning to work and may need long-term, multidisciplinary care, a new study shows. |
|
News • Cerebrovascular disorders
A new type of 3D imaging reveals how amyloid β (Aβ) deposits spread along blood vessels in the human brain. This could lead to targeted therapies for Alzheimer's disease and CAA. |
|
ePaper
|
Article • Information & insights
The latest issue of EUROPEAN HOSPITAL is here! We cover promising applications of agentic AI in healthcare, latest developments in breast cancer screening and radiotherapy, give a sneak peek at the ECR 2026 congress, and much more. Click here to ... |
|
Article • Radiology equipment
Our RADBook gives an overview about the most innovative diagnostic imaging systems for radiologists, cardiologists and managing directors of hospitals in Europe. The print guide is also available as an ePaper. Click here to find out more. |
|
Event
|
|
|
|
|
| |
You are receiving this email because you subscribed to our newsletter on healthcare-in-europe If you don’t want to receive this newsletter anymore, click here to unsubscribe.
Keep up-to-date on the latest news from all hospital-related fields! Subscribe to our bi-monthly newsletter. Copyright © 2026 mgo fachverlage GmbH & Co. KG. All rights reserved. E.-C.-Baumann-Straße 5, 95326 Kulmbach, Germany
email: newsletter@european-hospital.com |
|



|
|