|
|
Artificial intelligence has firmly established itself as a core topic at MEDICA. Experts discuss how AI presents both opportunities and challenges for modern healthcare systems, requiring careful balance between innovation and security. We highlight strategies to achieve cybersecurity resilience in the AI era, where deep fake threats and malicious attacks demand proactive defence strategies beyond technical solutions. The newsletter also explores advances in ultrasound-based organ imaging with multiparametric protocols and presents new surgical solutions for safer hip arthroscopy. Enjoy reading!
|
|
 |
Article • Security’s double-edged sword
Artificial intelligence (AI) is transforming healthcare, but it also introduces new cybersecurity risks that challenge IT teams. While AI streamlines diagnosis and workflow, cybercriminals are leveraging the same technology to infiltrate hospital ... |
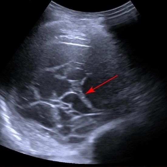
Article • Utilizing new strengths, fixing old weaknesses
Has organ imaging using ultrasound arrived at the same level as cross-sectional imaging? At the annual conference of the German Society for Internal Medicine (DGIM), PD Dr Corinna Trenker presented new technological developments and their diagnostic ... |
|
News • Ultrasound-guided gene therapy
New hope for patients with neurological diseases: A combination of focused ultrasound and gene therapy enables targeted, nonsurgical control of seizure-relevant brain regions. |
|
News • Sustainable Development Goals
Money isn’t everything: when it comes to national health, countries with a small economy can easily outperform richer nations through effective use of resources, a new study finds. |
|
News • Personalized training
A new study shows how AI could transform medical education, while calling for stronger collaboration across schools, hospitals, and regulators to make it safe, responsible, and effective. |
|
News • New cannula design
Engineers have developed a new surgical device for hip arthroscopy which they hope will completely change procedures in the hip region, making them safer and more efficient than before. |
|
Products
|
 Product • Autonomous surgical navigation robot
|
 Product • Hygiene
|
|
ePaper
|
Article • Trade fair special
EUROPEAN HOSPITAL is at MEDICA 2025! We cover the most exciting topics of the leading trade fair, with reports on robot-assisted surgery, innovative AI approaches to radiology and lab medicine, and more. Click here to read the ePaper. |
|
Article • Information & insights
The latest issue of EUROPEAN HOSPITAL is here! We cover promising applications of agentic AI in healthcare, latest developments in breast cancer screening and radiotherapy, give a sneak peek at the ECR 2026 congress, and much more. Click here to ... |
|
Article • Lab equipment
LABBook provides an overview of European laboratory systems. Whether you are about to set up a new lab or want to replace existing equipment, LABBook will help you make smart investment decisions to boost efficiency and productivity in your lab. |
|
|
|
| |
You are receiving this email because you subscribed to our newsletter on healthcare-in-europe If you don’t want to receive this newsletter anymore, click here to unsubscribe.
Keep up-to-date on the latest news from all hospital-related fields! Subscribe to our bi-monthly newsletter. Copyright © 2026 mgo fachverlage GmbH & Co. KG. All rights reserved. E.-C.-Baumann-Straße 5, 95326 Kulmbach, Germany
email: newsletter@european-hospital.com |
|



|
|